Bạn đang gặp vấn đề về lợi bị sưng đỏ đau nhức. Bạn thấy khó khăn trong việc ăn uống mà chưa biết sử dụng thuốc gì để chữa trị. Bạn hãy đến Nha khoa Athena để được đội ngũ bác sỹ thăm khám và tư vấn. Tại Athena, các bác sỹ đều là những chuyên gia đầu ngành về lĩnh vực nha khoa.
Bệnh viêm lợi là gì? Nguyên nhân dẫn đến viêm lợi.
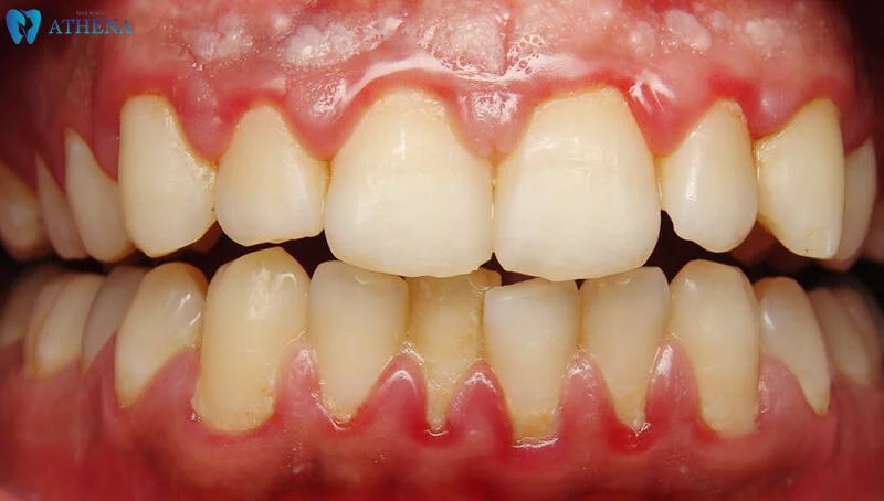
- Viêm lợi là hiện tượng lợi bị sưng đỏ, chảy máu khi chải răng và miệng bị hôi. Bị viêm lợi cần chữa trị kịp thời tránh để lâu sẽ dẫn đến tiêu xương ổ răng, nặng nhất là bị mất răng.
- Nguyên nhân dẫn đến viêm lợi là do: Vi khuẩn tồn tại ở mảng bám thải ra các độc tố khiến bị viêm lợi. Ngoài ra còn các nguyên nhân khác như chải răng không đúng cách làm mòn lợi, tổn thương lợi.
- Bệnh viêm lợi rất dễ dàng phát hiện và điều trị nhưng chúng ta thường hay bỏ qua và để tự nó khỏi. Nếu không được chữa trị có thể chuyển sang giai đoạn chảy máu lợi, nặng hơn thì bị rụng răng.

Các biểu hiện của bệnh viêm lợi là
Nướu răng bị sưng và chuyển từ màu hồng nhạt sang màu hồng đậm.
– Chải răng hoặc dùng chỉ nha khoa thấy chảy máu chân răng
– Hơi thở có mùi hôi.
– Thấy lỗ hổng giữa răng và lợi.
– Lợi bị tụt.
– Chạm vào răng cảm thấy răng bị lung lay.
Hậu quả của việc lợi bị viêm
Khi bị viêm lợi nếu không chữa trị sớm có thể làm tổn hại mô xương hỗ trợ răng, dẫn đến nguy cơ răng hư. Đặc biệt viêm lợi còn làm tăng nguy cơ các bệnh về ung thư thực quản nếu không được chữa trị kịp thời và đúng cách.
Nha Khoa Athena là một địa chỉ nha khoa uy tín với đội ngũ y bác sỹ chuyên sâu và nhiều năm kinh nghiệm trong việc khám và điều trị các bệnh lý răng miệng.

Cách chữa viêm lợi hiệu quả nhất
Thường xuyên làm sạch răng theo lịch trình được các nha sĩ khuyến cáo.
Chải răng đúng cách và thay bàn chải sau 3-4 tháng một lần.
Đánh răng tối thiểu hai lần một ngày, thời điểm tốt nhất là sau mỗi bữa ăn.
Sử dụng chỉ nha khoa để loại bỏ mảng bám và làm sạch răng.
Hạn chế dùng tăm để tránh chảy máu lợi, hỏng men răng.
Sử dụng nước súc miệng diệt khuẩn,
Nên tới nha sĩ để kiểm tra răng miệng định kỳ.
Khi đã có dấu hiệu về viêm lợi, bạn nên đến Nha khoa uy tín để thăm khám và chữa trị, không nên sử dụng các thuốc bừa bãi, không rõ nguồn gốc.
Bạn hãy đến nha khoa uy tín tại Hà Nội để được thăm khám và chữa trị.Athena, có đội ngũ bác sỹ chuyên nghiệp và máy móc thiết bị hiện đại sẽ giúp bạn bảo vệ được sức khoẻ răng miệng.
