Bạn đang bước vào hoặc sắp kết thúc hành trình niềng răng? Hãy cảnh giác! Mục tiêu cuối cùng là có một hàm răng thẳng, nhưng rất nhiều người đã phải đối mặt với nỗi ám ảnh mang tên đốm trắng trên răng và hậu quả nghiêm trọng hơn là sâu răng ngay sau khi tháo mắc cài. Đây là hai vấn đề thẩm mỹ và sức khỏe răng miệng phổ biến nhất, nhưng hoàn toàn có thể ngăn chặn được nếu bạn hiểu rõ nguyên nhân và áp dụng phương pháp tái khoáng men răng kịp thời
Vì Sao Mắc Cài Là “Kẻ Chủ Mưu” Gây Ra Đốm Trắng Trên Răng Và Sâu Răng?
Thực tế là niềng răng làm tăng nguy cơ phát triển đốm trắng trên răng và sâu răng lên mức báo động. Mắc cài không gây hại, nhưng cấu trúc của chúng tạo điều kiện lý tưởng cho sự tấn công của axit:


- Ổ chứa vi khuẩn: Mắc cài, dây cung tạo ra những góc khuất, khó vệ sinh, khiến mảng bám tích tụ nhanh chóng. Mảng bám này sản sinh axit.
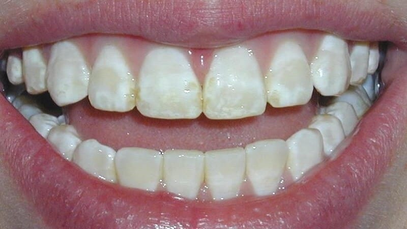
- Quá trình Mất Khoáng: Axit liên tục tấn công men răng, hòa tan các khoáng chất thiết yếu (Canxi, Phosphate). Dấu hiệu đầu tiên của sự mất khoáng chính là sự xuất hiện của các đốm trắng đục trên răng, đặc biệt là vùng xung quanh chân mắc cài.
- Tiến triển thành Sâu Răng Vĩnh Viễn: Nếu những đốm trắng trên răng này không được điều trị và phục hồi khoáng chất kịp thời, chúng sẽ tiến triển nhanh chóng thành sâu răng. Khi tháo niềng, bạn sẽ có một nụ cười thẳng, nhưng kèm theo các khuyết điểm nghiêm trọng về thẩm mỹ và sức khỏe.
Tái Khoáng Men Răng: Giải Pháp Vàng Ngăn Ngừa Đốm Trắng Trên Răng Và Sâu Răng

Tái Khoáng Men Răng Là Gì?
Tái khoáng men răng là một phương pháp điều trị dự phòng và phục hồi, sử dụng các vật liệu chứa nồng độ cao Canxi, Phosphate và Fluoride để thẩm thấu và bổ sung trực tiếp vào cấu trúc men răng bị mất khoáng. Quá trình này giúp:
- Cải thiện thẩm mỹ: Làm mờ và loại bỏ các đốm trắng trên răng, giúp bề mặt răng trở nên đồng màu và sáng bóng hơn sau khi tháo niềng.
- Đảo ngược tổn thương: Phục hồi men răng ở giai đoạn sớm (giai đoạn đốm trắng).
- Tăng cường đề kháng: Củng cố men răng, làm cho răng cứng chắc và chống chịu tốt hơn với sự tấn công của axit, từ đó giảm thiểu nguy cơ sâu răng.
Khi Nào Cần Thực Hiện Tái Khoáng Men Răng?
Việc tái khoáng men răng nên được thực hiện theo phác đồ của bác sĩ và thường xuyên:
- Trước khi niềng: Giúp men răng khỏe mạnh tối đa để chuẩn bị cho quá trình gắn mắc cài.
- Trong quá trình niềng: Được thực hiện định kỳ trong các buổi thăm khám hoặc khi bác sĩ phát hiện các dấu hiệu mất khoáng, đốm trắng trên răng mới chớm.
- Sau khi tháo niềng: Để củng cố lại toàn bộ bề mặt răng và xử lý triệt để các đốm trắng trên răng còn sót lại, đảm bảo nụ cười hoàn hảo.
Giải Pháp Chuyên Sâu Tại Viện Công Nghệ Nha Khoa Thẩm Mỹ ATHENA
Tại ATHENA, chúng tôi cam kết bảo vệ nụ cười của bạn khỏi đốm trắng trên răng và sâu răng bằng quy trình chuyên nghiệp, lấy việc tái khoáng men răng làm trọng tâm:
Phân tích Răng Miệng Bằng Công Nghệ: Bác sĩ sử dụng các thiết bị hiện đại để xác định chính xác các khu vực mất khoáng, đặc biệt là những vị trí dễ hình thành đốm trắng trên răng.
Sử Dụng Vật Liệu Tái Khoáng Cao Cấp: Chúng tôi dùng các sản phẩm bổ sung khoáng chất chuyên dụng được FDA chứng nhận, đảm bảo hiệu quả phục hồi men răng tối ưu và xử lý các đốm trắng trên răng hiệu quả.
Phác Đồ Tái Khoáng Riêng Biệt: Bác sĩ sẽ chỉ định tần suất và phương pháp tái khoáng men răng phù hợp để đạt được sự bảo vệ liên tục trong suốt thời gian niềng răng.
Huấn Luyện Chăm Sóc Tại Nhà Chuyên Sâu: Bạn sẽ được hướng dẫn kỹ thuật vệ sinh răng miệng với mắc cài hiệu quả nhất, cùng với việc sử dụng các sản phẩm hỗ trợ tái khoáng men răng tại nhà để chủ động ngăn chặn sự hình thành sâu răng và đốm trắng trên răng.hoáng men răng tại nhà để chủ động ngăn chặn sự hình thành sâu răng và đốm trắng trên răng.

Đừng Để Đốm Trắng Trên Răng Phá Hỏng Thành Quả Niềng Răng!
Niềng răng là một khoản đầu tư lớn về thời gian và chi phí. Đừng để hai vấn đề phổ biến là đốm trắng trên răng và sâu răng làm hỏng thành quả cuối cùng của bạn. Việc tái khoáng men răng không chỉ là bảo vệ men răng mà còn là bảo vệ tính thẩm mỹ cho nụ cười mới của bạn.
Nếu bạn đang lo lắng về sức khỏe men răng, hoặc muốn một hàm răng không chỉ thẳng mà còn khỏe mạnh sau niềng, hãy gửi tin nhắn ngay cho NHA KHOA ATHENA. Chúng tôi sẽ giúp bạn loại bỏ nỗi lo về đốm trắng trên răng và nguy cơ sâu răng vĩnh viễn.
