Vôi răng (hay còn gọi là cao răng) là một trong những vấn đề răng miệng phổ biến nhất nhưng lại thường bị nhiều người xem nhẹ. Thực tế, nếu không được xử lý kịp thời, vôi răng chính là “kẻ hủy diệt thầm lặng” dẫn đến những biến chứng nghiêm trọng về sức khỏe và thẩm mỹ nụ cười.

1. Vôi răng là gì và hình thành như thế nào?
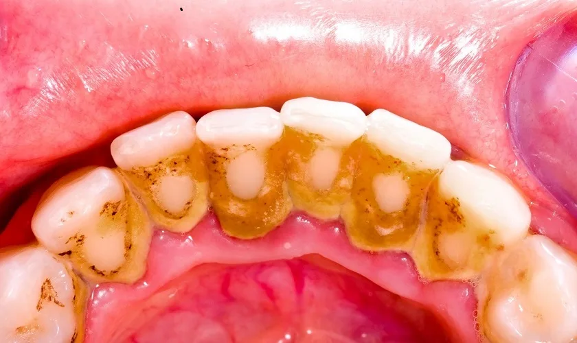
Vôi răng là những mảng bám cứng hình thành từ thức ăn thừa, vi khuẩn và khoáng chất trong nước bọt tích tụ lâu ngày trên bề mặt răng hoặc dưới nướu.
Ban đầu, chúng chỉ là những mảng bám mềm có thể làm sạch bằng bàn chải. Tuy nhiên, sau khoảng 24 giờ, nếu không được loại bỏ, các mảng bám này sẽ bị khoáng hóa bởi các muối canxi trong nước bọt và trở nên cứng chắc. Một khi đã hóa cứng, vôi răng hoàn toàn không thể loại bỏ bằng cách đánh răng thông thường tại nhà.

2. Tại sao vôi răng lại gây nguy hiểm cho sức khỏe răng miệng?
Nhiều người vẫn lầm tưởng vôi răng chỉ khiến răng bị xỉn màu hoặc gây mất thẩm mỹ. Thực tế, đây là nơi trú ngụ lý tưởng của hàng tỷ vi khuẩn có hại, gây ra hàng loạt bệnh lý nguy hiểm:
- Viêm nướu – Chảy máu chân răng: Độc tố từ vi khuẩn trong vôi răng gây kích ứng mô nướu, khiến nướu sưng đỏ, nhạy cảm và dễ chảy máu khi bạn đánh răng hoặc ăn nhai.
- Viêm nha chu – Nguy cơ rụng răng sớm: Khi viêm nướu kéo dài không được điều trị, nó sẽ tiến triển thành viêm nha chu. Lúc này, vi khuẩn tấn công sâu xuống xương ổ răng, làm tụt nướu và khiến răng bị lung lay.
- Hôi miệng dai dẳng: Các ổ vi khuẩn trong cao răng liên tục giải phóng các hợp chất lưu huỳnh có mùi khó chịu, khiến bạn mất tự tin trong giao tiếp dù đã vệ sinh răng miệng kỹ.
- Tăng nguy cơ sâu răng: Vôi răng bao phủ bề mặt răng làm cản trở việc vệ sinh, tạo điều kiện cho axit tấn công men răng mạnh mẽ hơn.

3. Quy trình lấy vôi răng chuẩn y khoa tại Nha khoa Athena
Để bảo vệ nụ cười toàn diện, việc lấy vôi răng định kỳ là giải pháp tối ưu nhất. Tại Nha khoa Athena, chúng tôi áp dụng quy trình hiện đại giúp khách hàng có trải nghiệm nhẹ nhàng nhất:
- Thăm khám và tư vấn: Bác sĩ kiểm tra mức độ tích tụ vôi răng và các bệnh lý liên quan.
- Sử dụng công nghệ siêu âm: Sóng siêu âm nhẹ nhàng làm tan rã các liên kết vôi răng mà không xâm lấn hay gây tổn thương men răng.
- Đánh bóng bề mặt: Sau khi loại bỏ vôi, bác sĩ sẽ tiến hành đánh bóng để bề mặt răng nhẵn mịn, hạn chế mảng bám quay trở lại.
4. Cách phòng ngừa vôi răng tích tụ hiệu quả tại nhà
Bên cạnh việc thăm khám định kỳ, bạn có thể kiểm soát tình trạng vôi răng thông qua các thói quen sau:
- Đánh răng ít nhất 2 lần/ngày với kem đánh răng chứa Fluoride.
- Sử dụng chỉ nha khoa hoặc máy tăm nước để làm sạch kẽ răng.
- Hạn chế đồ ăn nhiều đường, tinh bột và các thực phẩm có màu.
Vôi răng không thể tự biến mất mà sẽ ngày càng dày lên theo thời gian, gây hại trực tiếp đến cấu trúc răng. Lấy cao răng định kỳ 3–6 tháng/lần là cách đơn giản và tiết kiệm nhất để giữ cho hơi thở thơm mát và hàm răng chắc khỏe.
Đừng để những mảng bám cứng đầu lấy đi nụ cười của bạn. Hãy liên hệ ngay với NHA KHOA ATHENA hoặc theo dõi https://www.facebook.com/nhakhoathammyquocteathena/?locale=vi_VN để tìm hiểu thêm các biện pháp chăm sóc răng miệng nhé
