Răng sứ Veneer sử dụng trong mặt dán sứ. Hiện đang là trào lưu thẩm mỹ răng được đông đảo mọi người tin dùng vì tính thẩm mỹ. Tuy nhiên, răng sứ Veneer có tốt không. Răng sứ Veneer có những ưu điểm nào? Cùng theo dõi những chia sẻ dưới đây.
Chất liệu sứ Veneer được xem là thành tựu nổi bật. Răng sứ Veneer hay còn gọi là Laminate, là kỹ thuật phục hình răng phổ biến hiện nay. Đặc biệt phát triển ở Mỹ và châu Âu. Hiện nay, răng sứ Veneer đã có mặt tại Việt Nam và cũng được một số nha khoa đưa vào phục hình răng miệng.
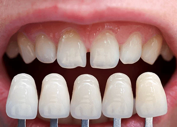
Răng sứ Veneer có tốt không?
Trên thị trường hiện có nhiều loại răng sứ. Mỗi loại có ưu nhược điểm riêng biệt khiến khách hàng dễ hoang mang trong việc chọn một sản phẩm ưu việt. Hẳn là bạn đã nghe đến những chiếc răng sứ Veneer. Vậy răng sứ Veneer có tốt không?
Kỹ thuật thẩm mỹ răng với răng sứ Veneer là một giải pháp hiệu quả để khắc phục triệt để tình trạng răng bị khiếm khuyết. Thực hiện dán mặt sứ siêu mỏng lên vùng răng cần điều trị.

Răng sứ Veneer tốt ở điểm mang lại hàm răng trắng sáng hoàn hảo cho bạn. Không ảnh hưởng đến bề mặt ngoài của răng, không làm mòn răng.
Bạn không phải lo ngại răng sứ Veneer có tốt không. Răng sứ Veneer là một miếng dán sứ siêu mỏng và dán trực tiếp lên bề mặt răng điều trị. Lớp sứ Veneer này còn giúp bảo vệ răng thật của bạn. Hạn chế gây hại cho răng. Có thể nói, răng sứ Veneer thực sự là giải pháp tốt, đáng tin cậy cho bạn.
Những trường hợp nên làm răng sứ Veneer
- Răng xỉn màu, ngả màu vàng đục do dùng quá nhiều thuốc kháng sinh, hút thuốc, uống trà….
- Tình trạng răng ố quá lâu, đã sử dụng liệu trình tẩy trắng răng nhưng không thể đem lại hiểu quả.
- Răng bị mòn cạnh do cắn, chân răng ngắn.
- Răng bị nứt, bể, mẻ do va đập
- Răng mọc thưa, có kẽ hở nhẹ giữa các răng.
So sánh răng sứ Veneer với bọc răng sứ
Để có được cái nhìn tổng quan hơn về vấn đề răng sứ Veneer có tốt không. Hãy cùng so sánh dán răng sứ Veneer và các phương pháp bọc sứ khác:
Đối tượng thực hiện:
Bọc răng sứ áp dụng được với mọi trường hợp răng xấu và có nhu cầu thẩm mỹ răng. Có thể chỉ định cho cả trường hợp răng sậm màu, răng gẫy vỡ, răng còn ít thân răng. Bọc răng cho trường hợp răng mòn, có khớp cắn không tốt. Thay đổi được cả trực răng và hướng răng cho răng khấp khểnh, hô móm…

Mặt dán sứ Veneer chỉ áp dụng trong trường hợp răng đều, răng không đen hay răng mòn, vỡ chưa quá 1/3 thân răng. Thẩm mỹ răng bằng răng sứ Veneer phù hợp với trường hợp răng đều nhưng thưa, bé hay mòn, gẫy vỡ nhẹ.
Về vấn đề sinh học:
Dán răng sứ Veneer bạn không cần mài răng nên không ảnh hưởng đến bề mặt ngoài của răng. Mang lại cảm giác thoải mái, không khó chịu hay xáo trộn nào.
Sự tăng giảm đột ngột nhiệt độ trong khoang miệng khi ăn uống có thể dẫn đến rối loạn mạch máu. Đây là nguyên nhân gây viêm tủy răng. Vì không dẫn nhiệt dẫn điện nên sử dụng răng sứ Veneer an toàn với các bộ phận trong khoang miệng.
Còn về phương pháp bọc răng sứ thẩm mỹ khác, bắt buộc phải mài một lớp mô răng. Tuy nhiên, nếu tay nghề bác sĩ không cao hay ít kinh nghiệm thì có thể làm hỏng răng. Gây ảnh hưởng đến răng miệng của bạn. Hơn nữa, bạn sẽ cảm thấy có sự thay đổi nhẹ khi lắp răng sứ vào.
Tuy nhiên, vẫn còn hạn chế với răng sứ Veneer. Đó là phương pháp này không thật sự thích hợp khi ăn nhai vật cứng. Cùng với đó là những thói quen xấu như cắn bút, nghiến răng… Tuổi thọ trung bình của răng sứ Veneer là từ 10-15 năm.

Chọn làm răng sứ Veneer tại Nha khoa Athena
Tại Nha khoa Athena – Nha khoa uy tín tại Hà Nội, các bước tiến hành dán răng sứ Veneer đều được thực hiện tại phòng điều trị có đầy đủ các trang thiết bị. Luôn đảm bảo yếu tố vô trùng ở tất cả các khâu theo đúng tiêu chuẩn của Bộ Y tế nhằm tránh lây nhiễm, ảnh hưởng đến kết quả.
Nếu bạn có bất kỳ thắc mắc nào về vấn đề răng sứ Veneer có tốt không, hay chi phí bọc răng sứ. Vui lòng liên hệ Nha khoa Athena để được tư vấn tốt nhất.
