Chảy máu răng thường bị chủ quan, nhưng đó có thể là dấu hiệu cảnh báo bệnh lý răng miệng hoặc toàn thân. Nếu xảy ra thường xuyên, cần tìm hiểu nguyên nhân và điều trị sớm để tránh biến chứng.

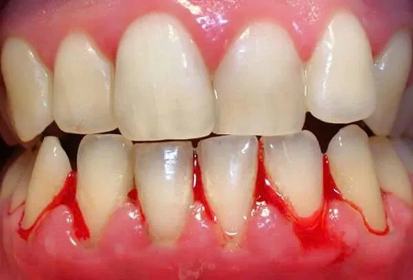
1. Viêm nướu – Nguyên nhân phổ biến nhất gây chảy máu răng

Viêm nướu (viêm lợi) là giai đoạn đầu của bệnh nha chu. Khi mảng bám và vi khuẩn tích tụ quanh chân răng, nướu bị sưng đỏ, dễ chảy máu khi chải răng hoặc ăn uống.
Nếu không được làm sạch định kỳ, viêm nướu sẽ tiến triển thành viêm nha chu, gây tụt lợi, lung lay và mất răng.

👉 Cách khắc phục: Vệ sinh răng miệng đúng cách, dùng bàn chải lông mềm và cạo vôi răng định kỳ 6 tháng/lần.

2. Viêm nha chu – Giai đoạn nặng hơn của chảy máu răng

Khi viêm nướu không được điều trị, vi khuẩn tấn công sâu xuống xương ổ răng, gây viêm nha chu. Đây là nguyên nhân chính dẫn đến rụng răng sớm ở người trưởng thành.

Triệu chứng thường gặp:

🩺 Điều trị: Cần điều trị nha chu chuyên sâu tại nha khoa – cạo vôi, làm sạch túi nha chu, kết hợp kháng sinh nếu có nhiễm trùng.

3. Thiếu vitamin C và K – Gây yếu thành mạch máu

Chảy máu răng không chỉ do bệnh răng miệng mà còn liên quan đến thiếu hụt dinh dưỡng.
Thiếu vitamin C khiến nướu yếu, dễ sưng viêm, còn thiếu vitamin K làm máu khó đông, dẫn đến chảy máu kéo dài.

👉 Bổ sung cam, chanh, rau xanh, cải bó xôi, bông cải xanh… vào khẩu phần ăn hàng ngày để cải thiện.

bleeding gums

4. Bệnh lý toàn thân – Tiểu đường, tim mạch, rối loạn đông máu

Các bệnh như tiểu đường, cao huyết áp, hoặc rối loạn đông máu làm giảm khả năng lành thương, khiến nướu dễ tổn thương và chảy máu.
Ngoài ra, một số thuốc như aspirin, thuốc chống đông máu cũng làm tăng nguy cơ chảy máu răng.

Lưu ý: Nếu bạn bị chảy máu răng dù vệ sinh tốt, nên kiểm tra sức khỏe tổng quát để loại trừ nguyên nhân toàn thân.

5. Thói quen xấu gây chảy máu răng kéo dài

Những thói quen này làm tổn thương nướu, tích tụ vi khuẩn, khiến chảy máu răng trở thành tình trạng mãn tính.

💡 Cách phòng ngừa và chăm sóc răng miệng hiệu quả

✅ Nếu chảy máu răng kéo dài quá 3 ngày, nên đến nha khoa kiểm tra để xác định nguyên nhân chính xác.

Kết luận: Đừng chủ quan khi bị chảy máu răng

Chảy máu răng tưởng chừng nhỏ nhưng lại có thể ẩn chứa 5 nguy cơ bệnh lý tiềm ẩn như viêm nướu, viêm nha chu, thiếu vitamin, bệnh toàn thân hoặc thói quen sai cách.
Phát hiện sớm và điều trị kịp thời không chỉ giúp bảo vệ nụ cười mà còn giữ sức khỏe toàn thân ổn định.

Hãy nhắn tin và đặt lịch tại Nha Khoa Athena để được thăm khám miễn phí, trải nghiệm cảm giác được chăm sóc răng miệng chuẩn quốc tế.

Để lại một bình luận

Email của bạn sẽ không được hiển thị công khai. Các trường bắt buộc được đánh dấu *